In addition to patients with periodontal disease, it is also common for patients to come to the clinic for examination because they feel their teeth are sore. In addition to tooth decay, the most common cause of tooth soreness is "sensitive teeth" or "dentin hypersensitivity". The characteristic of tooth soreness is that when the teeth encounter temperature changes, acidic foods, sweets, brushing and blowing, or changes in local osmotic pressure, they will feel sore and uncomfortable. This is mainly caused by exposed dentin or exposed roots.
When patients with sensitive teeth come to the clinic, we will classify them according to the location of the sensitivity and soreness:
Occlusal surface: Exposed dentin lacking enamel protection.
Tooth neck: Exposed tooth roots caused by various reasons, such as gum recession caused by periodontal disease.
For patients with this type of tooth soreness, I will examine the teeth and periodontal conditions from a more comprehensive perspective so that the patient's problem can be cured.
Toothache, tooth decay, and mild periodontal disease need to be treated first
The first time I examined Miss Deng was in 2011. Her most uncomfortable problem at that time was "sore and sensitive teeth". From the intraoral and X-ray examination, we can find that her tooth decay rate is very high! And because of the pain and discomfort during the dental treatment, she was afraid of seeing her teeth, and her previous dental experience was not good. So even if the upper left molar has been decayed and only the stump is left, I still want to put it off until I have to deal with it.

Pictured: A full-mouth examination of the patient before periodontal disease treatment revealed that only the remaining roots of the large molars were decayed.
In addition, patients also have high rates of tooth decay and gum recession that exposes tooth roots, which are all causes of tooth sensitivity and soreness.

Picture: The patient has exposed tooth roots, gum inflammation and tooth decay.
In addition to evaluation and treatment when diagnosing dental caries, I will also use a periodontal probe and X-rays to specifically check whether the patient's periodontal condition poses potential risks. The diagnosis of periodontal disease is full-mouth mild periodontitis. This mild periodontal disease can usually be well controlled with regular six-monthly dental calculus removal (dental scaling) and improved oral hygiene education.
In fact, Miss Deng’s periodontal disease is not serious, and she successfully completed the periodontal disease treatment! Therefore, I really recommend that if you have periodontal disease, you should treat it early. For mild full-mouth periodontitis like Miss Deng, the periodontal disease treatment cost is not high. Don’t mistakenly think that the cost of periodontal disease treatment is expensive when you read it on the Internet or PTT. The cost of mild periodontal disease treatment is not expensive. If you treat it early and improve your oral hygiene education habits, you can make your teeth healthier.
Because in addition to mild periodontal disease, she also underwent tooth decay and root canal treatment on her front teeth in the following years, I will also introduce Miss Deng’s subsequent treatment plan for tooth decay and missing teeth.
The treatment plan is to first focus on the chewing function, missing teeth, and tooth decay: first, after removing the root of the left upper back tooth, Miss Deng chose to use a traditional dental bridge to restore the function.

Illustration: The first step of the treatment procedure is to use a dental bridge to repair the missing tooth after root extraction.
The first largest molar on the left mandible was previously filled with cavities using silver powder and had secondary cavities on the edges. After this removal, it was completely restored using 3D tooth carving.

Pictured: The first molar on the lower left was filled with silver powder, secondary cavities developed on the edge, and was repaired with 3D tooth carving.
According to the symptoms of tooth sensitivity, it can be roughly divided into home use and in-office treatment:
◎ The most common one used at home is "anti-sensitive toothpaste". There are usually two ways of action: reducing the sensitivity of tooth nerves or sealing dentinal tubules to block stimulation. Clinical experience is that it often takes at least a month of continuous use to achieve an effect and requires long-term use. This is probably also the shortcoming of anti-sensitive toothpaste. Once you stop using it, you will soon feel sore and sensitive again.
◎ For treatment in the dentist’s office, a common method used by dentists is to use fluorine paint or dental adhesive for local treatment. The purpose is also to block stimulation of dentin. The advantage is of course that it is more effective and more durable.
Here is a special reminder: Dental treatment usually takes a long time and there are many appointments. If you give up halfway, or feel that your condition has improved slightly or other factors, just leave the remaining problems alone. On the contrary, this will make small problems that can be solved in a few visits become more and more serious.
Later, Miss Deng, who was no longer afraid of regaining her confidence in dentistry, also returned for regular visits. By 2016, we discovered that the cavities on her two lateral incisors had become larger. X-ray examination showed that the base of the right lateral incisor was already inflamed and the alveolar bone was damaged. This was caused by the tooth decay reaching the nerve, and the infection spread to the root tip after the nerve became inflamed and necrotic. After root canal treatment, we repaired the four upper front teeth with all-ceramic crowns. Miss Deng was very satisfied with the results of the treatment. Half a year later, ceramic veneers were installed on the canine teeth and the first molar on both sides to make the color more consistent and stable.

Illustration: The braces in the esthetic area of the upper front teeth do not fit tightly, and the resin-filled teeth also have edges that do not fit tightly, resulting in secondary cavities.

Pictured: The root of the upper right incisor is inflamed and requires root canal treatment.
During this periodontal treatment in 2016, we used all-ceramic crowns to repair her upper four front teeth after root canal treatment. Until the inspection in 2020, the four all-ceramic crowns were still as beautiful and stable as when they were newly installed.

Pictured: During treatment for front tooth decay in 2016, the front teeth were restored with all-ceramic crowns

Pictured: Four years after the all-ceramic crown was installed in 2020, the all-ceramic crown is still beautiful and stable, and the patient is very satisfied
All-ceramic crown/ceramic veneer – DSD digital smile design
In the photos of the mandibular front teeth in 2020 and 2016, we can actually find that although we have used composite resin or traditional dentures to repair dental caries. However, the resin is not good in terms of strength, color stability or edge adhesion. After many years, it is obvious that it will fall off, edge discoloration or secondary tooth decay. This time Miss Deng also made up her mind to make comprehensive improvements, switching to all-ceramic crowns and ceramic veneers, and receiving higher-quality medical treatment. During this process, I also used the latest DSD digital smile design to help her carry out the entire treatment.

Pictured: During treatment in 2016, composite resin and traditional dentures were used to repair the cavities in the front teeth (blue arrow)

Picture: During the 2020 inspection, it was found that many fillings on the lower jaw were discolored or fallen off, and there were secondary cavities. The old dentures have been replaced with temporary dentures.
DSD digital smile design, the smile curve is more perfect
Medical technology continues to evolve, and digital dental technology is advancing rapidly, causing dental procedures to change. Taoyuan Modern Dentist has introduced digital equipment and processes in recent years. We can use advanced digital intraoral scanning equipment during treatment to analyze the front teeth of the mandible through the DSD (digital smile design) digital smile design process, and then provide the patient's smile appearance after the treatment before treatment.
The concept of DSD digital smile design is like trying on new clothes. The smile curve designed by the doctor and dental technician is tried on in the mouth. When the patient agrees with the goal and design, the treatment will be started according to the design results. The biggest difference from traditional treatments is that DSD digital smile design can allow patients to see in advance what their smile will look like after surgery through simulation, making it easier to communicate with the doctor about the design they want.
After DSD smile analysis, we believe that the reasons for the poor aesthetics of this area are: insufficient space causing crowding and uneven arrangement, poor tooth shape, and poor aesthetics caused by dental caries. We decided to take advantage of all-ceramic veneers and all-ceramic crowns to repair the tooth defects caused by tooth decay in the front teeth. We also allocated space to each tooth and chose a tooth color that is close to the natural color of the upper jaw. The appearance is expected to keep the teeth in an even order.

Pictured: DSD (digital smile design) of digital dentistry in 2020, which can communicate tooth color, shape, and arrangement by wearing temporary materials
When treating front tooth cavities, we recommend first removing the old dentures that do not fit tightly, removing the cavities on the lower left canine tooth and the two lower right molars, and then making temporary dentures for use during the treatment. I also emphasize the importance of temporary dentures, which include:
◎ Provide certain comfort and bite function during treatment
◎ Maintain the space and position of teeth to avoid tooth displacement
◎ Temporary aesthetic needs and providing an environment conducive to periodontal maintenance and recovery
◎ Treatment, diagnosis, and communication tools. During the trial-fitting process, we can discover early or after patient feedback that problems may occur with the official dentures or the design may need to be modified.

Picture: The old dentures of the patient's lower right first and second molars were removed and replaced with temporary dentures for temporary repair.
In addition, after the dentures were removed, it was found that the caries had reached below the gums and close to the alveolar bone. As a result, future formal dentures must also go deep below the gums, which may violate the "biological width" of the teeth. In dentistry, when we have fillings or dentures made, we try to respect this natural distance. Because usually when the joint is very deep, there are two main types of problems:
◎ May cause chronic pain, gum inflammation or alveolar bone resorption and other related periodontal problems
◎ Interference between saliva and blood causes fillings or dentures to not fit as tightly as possible and may easily fall off or result in secondary tooth decay.

Illustration: The picture on the left shows that the braces are connected flush with the alveolar bone. It is recommended to use crown augmentation to lower the alveolar bone. In the picture on the right, the joint is too deep and invades the biological width, which is typically prone to gingivitis.
Before the formal restoration, Miss Deng also agreed with my suggestion to undergo crown augmentation surgery first. After about 6 weeks, when the gum and alveolar bone are stable, you can replace them with formal dentures.
Digital dentistry quickly completes all-ceramic crown dentures
For this recent restoration treatment, we made full use of the advanced digital dental equipment at Taoyuan Modern Dental Clinic. From modeling, design to production, the dental treatment process was all performed digitally. include:
◎ Digital oral scanning – The dental status in the oral cavity is scanned and a high-precision digital model of the teeth is quickly established, replacing the traditional impression method.
◎ Digital all-ceramic design (CAD) – using special computer software to design and simulate dentures, crowns, and veneers
◎ Digital grinding machine (CAM) – The designed files are directly output to the digital grinding machine to produce restorations, replacing the traditional process of sending dental molds to outsourced laboratories for several weeks.
◎ Professional digital team – The above equipment and technologies require a professional team to operate and master them, and must be certified by professional licenses

Picture: Taoyuan Modern dentist’s complete digital dental restoration process
Because in the Taoyuan area, we are one of the few teams with dental technicians attached to the hospital, so doctors and dental technicians can work closely together and communicate well. In addition to being able to control the quality of material sources, it also has the advantage of on-site communication and fine-tuning. Under the self-requirement of both efficiency and precision, ten ceramic veneers and all-ceramic crowns for the lower jaw were completed in a short period of time. Therefore, many patients in Taoyuan, Zhongli, and Yangmei will recommend us to come to Taoyuan Modern Dentist for treatment when they have problems with broken front teeth, tooth decay, root canal treatment, and periodontal disease.

Pictured: A total of 10 all-ceramic crowns and ceramic veneers were quickly completed through digital dental technology.
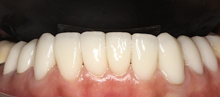
Let’s take a look at the all-ceramic crown/ceramic veneer upgrade completed by Miss Deng in 2020. Is it more perfect?

Pictured: Photos of Miss Deng’s front teeth from various angles after completing the mandibular all-ceramic crown and ceramic veneer in 2020
Tooth pain and sensitivity are easy to recur. Regular periodontal examination and cleaning are fundamental.
After completing the above treatment, I know that high rates of tooth decay and tooth sensitivity have been Miss Deng’s main problems for many years. In response to her condition, we also specially produced a set of multi-functional dental trays for her to wear. It has the following advantages:
◎ Can be used as a space maintainer to stabilize the current dentition and prevent future tooth displacement.
◎ Use this dental tray to use MI Paste, the special ingredient "Recaldent (CPP-ACP)" was developed by the University of Melbourne, Australia, and is claimed to have the ability to help "remineralize" teeth and repair them. Therefore, it is claimed to have the effects of "anti-moth" and "anti-allergy"

Pictured: A customized multi-functional dental tray for Miss Deng’s tooth decay and tooth soreness and sensitivity.
Usually the treatment effect of sensitive teeth is not consistent, but there is indeed clinical case experience in many patients using MI Paste, and the subjective feedback feedback has been that the problem of tooth sensitivity has been significantly improved.
Because tooth roots exposed due to tooth decay or gum recession may cause the recurrence of sensitive teeth, I still recommend regular check-ups and maintaining good oral hygiene as the fundamental way.
For ten years, Miss Deng has received full-mouth treatment. From the traditional treatment process to the recent all-ceramic crown/ceramic veneer treatment of the lower jaw with digital dental equipment. Whether it is functional reconstruction or aesthetic improvement, we have witnessed the rapid changes and progress in dentistry. I had a poor dental experience in the past, but through the changes in the process, I feel much more comfortable. From the crystal clear white color of the teeth and the neat arrangement, it helps to enhance the overall appearance and show a more confident smile.

Picture: Miss Deng happily takes a photo with Dr. Ye Liwei after completing the treatment
Note: The effects of treatment vary depending on individual conditions. Please consult a professional physician to develop a suitable course of treatment for you.